
CONSULTA MÉDICA ESPECIALIZADA EN TRAUMATOLOGÍA Y ORTOPEDIA EN NIÑOS Y ADULTOS
Toda lesión en el sistema musculoesquelético afecta las actividades diarias, pero al realizar una evaluación física detallada y estudios de imagen, podemos resolverla.

CONSULTA MÉDICA SUBESPECIALIZADA EN CIRUGÍA DE LA MANO EN NIÑOS Y ADULTOS
El movimiento de nuestras manos es fundamental en el día a día, preservar la misma y mejorar su función es nuestro compromiso.

DIAGNÓSTICO Y TRATAMIENTO DE ENFERMEDADES CONGÉNITAS DE LA MANO EN NIÑOS
Del 1 al 3% de los niños, presentan alguna malformación al nacer y el 10% de las mismas afecta el sistema musculoesquelético, la más frecuente es la Sindactilia (fusión de dos o más dedos) la cual puede tratarse con cirugía y así brindar la función adecuada a la mano en los niños.

PREVENCIÓN DE FRACTURAS
Los accidentes pueden ser inevitables, pero con una dieta balanceada que incluya suplementos nutricionales y actividad física dirigida, podemos brindar a nuestros huesos una calidad ósea adecuada para disminuir el riesgo de fracturas secundarias a mecanismos de baja energía.

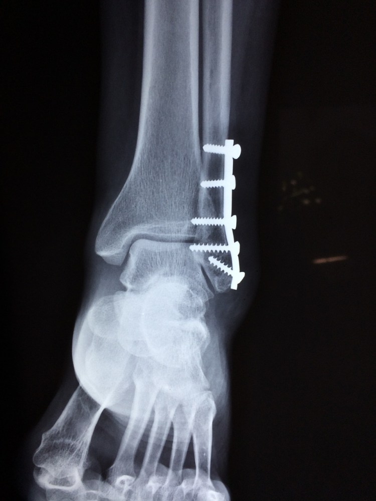
TRATAMIENTO DE FRACTURAS POR FRAGILIDAD
Las fracturas por fragilidad se producen por mecanismos de baja energía en pacientes mayores o con antecedentes de enfermedades que alteran el metabolismo óseo, su tratamiento es diferente debido al uso de implantes, placas y tornillos con características especiales para lograr la estabilidad necesaria para la consolidación ósea.

INFILTRACIONES
En algunas enfermedades la aplicación local de medicamentos acelera el proceso de curación, por lo que las infiltraciones son una opción terapéutica útil en pacientes que sufren de bursitis, tendinitis, etc.

CIRUGÍAS DE EMERGENCIA
Los accidentes son eventos inesperados que pueden producir lesiones en ligamentos, articulaciones, huesos o tendones, pero nuestra atención medica puede ayudarle a superar la situación. Las cirugías de emergencia se realizan cuando se necesite, 24 horas al día, 7 días a la semana.

CIRUGÍAS ELECTIVAS
Las enfermedades del sistema musculoesquelético pueden manifestarse como afecciones tendinosas, nerviosas o ligamentarias, provocando dolor limitante. Las más frecuentes son Síndrome del túnel del carpo, Gangliones, Dedos en gatillo, Síndrome del Manguito rotador, las cuales pueden ser tratadas mediante múltiples pautas terapéuticas.




